搜狐体育直播

图片
叶健一,中国台湾长庚医院医疗体系医学物理咨询顾问
时间:2022年06月07日

1685948592573493.jpg

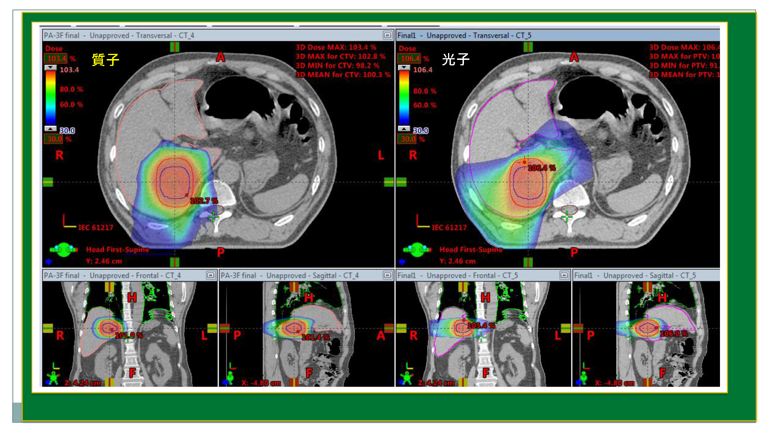
叶健一,2021– 至今,长庚医院医疗体系医学物理咨询顾问。研究领域:远隔及近接放射治疗物理,远隔及近接放射治疗临床技术、特殊放射治疗技术、质子放射治疗物理及临床应用。主要成就: 建立长庚医院质子治疗中心及设立质子临床应用规范。


你知道你的Internet Explorer是过时了吗?

为了得到我们网站最好的体验效果,我们建议您升级到最新版本的Internet Explorer或选择另一个web浏览器.一个列表最流行的web浏览器在下面可以找到.